嚇人!20歲男生肺被“啃”出10多個空洞!只因一個常見動作……醫生提醒

嚇人!20歲男生肺被“啃”出10多個空洞!只因一個常見動作……醫生提醒 -

對於年輕人來說

誰還沒個冒痘的煩惱

順手一擠是簡單操作

嚇人!20歲男生肺被“啃”出10多個空洞!只因一個常見動作……醫生提醒 -

昨天

“20歲男生臉上擠痘痘擠進重症監護室

的話題衝上熱搜

並引髮網友關註:

20歲大學生擠了顆普通痘痘居然引發敗血症

肺被“啃”出10多個洞

只因擠了顆痘痘

肺竟被“啃”出十多個空洞

20歲的小林(化名)是名大二學生,前段時間為了準備考試,熬了幾晚後臉上冒出一顆黃豆大小的痘痘。“又紅又腫的很難看,我就想着擠掉能快點好。”他回憶道,當時沒洗手就對着鏡子擠痘痘,膿水擠出來時,他還覺得終於清爽了。

可沒過幾天,痘痘依舊化膿了,糟糕的是,小林開始發燒咳嗽咳痰,即便吃了退燒藥也只是暫時退下去。更難受的是右下胸部傳來的疼痛,像有根針在扎,深呼吸、咳嗽時更是疼得直冒冷汗。

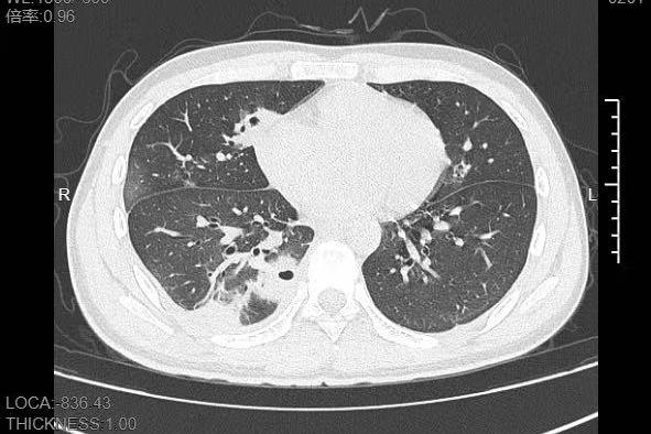
熬到第三天,小林已經燒到39℃,趕緊來到寧波大學附屬第一醫院就診。接診的呼吸與危重症醫學科丁群力主任醫師一看他的癥狀,立刻安排了CT檢查。結果顯示:小林的肺里有十幾個空洞,部分肺組織已經壞死,這是典型的血源性肺膿腫

嚇人!20歲男生肺被“啃”出10多個空洞!只因一個常見動作……醫生提醒 -

小林的CT影像顯示肺里有多個空洞

進一步的細菌培養和基因檢測揭開了真相,小林的血液里檢出了金黃色葡萄球菌,這種細菌,就藏在每個人的皮膚表面。

“罪魁禍首就是那顆被擠掉的痘痘。”丁群力解釋,“這顆痘痘長在臉部‘危險三角區’,擠痘痘時的壓力把細菌推進了血管,引發了敗血症,接着細菌順着血流跑到肺部,侵蝕肺組織。

萬幸小林年輕,身體素質好,對藥物也較為敏感,經過12天的抗生素治療,最終順利康復出院。

一顆痘痘能“殺”到肺部?

很多人擠痘前都不知道,臉部藏着一塊“危險三角區”,具體是指從鼻根到兩側口角形成的三角形範圍。“我們身體里的血管大多有靜脈瓣,就像單向閥門一樣,能防止血液逆流,避免細菌跟着血液亂跑。但‘危險三角區’的血管偏偏沒有這個閥門,是完全直通式的。”丁群力介紹。

嚇人!20歲男生肺被“啃”出10多個空洞!只因一個常見動作……醫生提醒 -

這就意味着,當你擠壓這個區域的痘痘時,會同時觸發兩個危險步驟:

一方面,痘痘本身是毛囊發炎的產物,已經存在局部感染,擠壓會直接破壞皮膚屏障,讓痘痘里含大量細菌的膿液,接觸到皮下毛細血管。

另一方面,擠壓的壓力容易把這些細菌強行推進血管里。沒有靜脈瓣的阻擋,細菌可以順着血液自由擴散,往上進入顱內,引發腦膜炎腦膿腫等更兇險的疾病,往下順着全身血液循環,跑到肺部、肝臟等器官,引發嚴重感染。

像小林這樣,當細菌跑到肺組織上後,就會開始瘋狂破壞肺細胞,引發局部炎症。隨着炎症加重,肺組織會逐漸壞死、液化,最終形成一個個空洞。

如果沒有及時就醫,風險還會持續升級,輕則導致肺膿腔破裂,引發膿胸,膿氣胸,胸腔里積滿膿液,重則細菌會再次擴散到肝臟、心臟等關鍵器官,甚至引發膿毒症休克,危及生命。

即便最終治癒,嚴重的肺組織壞死也可能留下後遺症,比如肺功能下降,影響後續的正常呼吸。

醫生提醒:

對於輕度痘痘,不用特殊干預,皮膚有自我修復能力,過度擠壓、塗抹刺激性產品,反而會破壞皮膚屏障,增加感染風險。尤其是“危險三角區”的痘痘更是不能擠挑,要避免細菌進入血液。

不要頻繁觸摸,手上的細菌數量多,反覆接觸痘痘可能會讓細菌反覆污染創口。

一旦出現疼痛加劇或周圍皮膚大面積紅腫,伴隨發熱、乏力,出現胸痛、咳嗽、呼吸困難這些情況,一定要立刻就醫,千萬別拖延。

不少網友直呼:

再也不敢手欠,原來之前是我命大啊!

嚇人!20歲男生肺被“啃”出10多個空洞!只因一個常見動作……醫生提醒 - 嚇人!20歲男生肺被“啃”出10多個空洞!只因一個常見動作……醫生提醒 - 嚇人!20歲男生肺被“啃”出10多個空洞!只因一個常見動作……醫生提醒 - 嚇人!20歲男生肺被“啃”出10多個空洞!只因一個常見動作……醫生提醒 - 嚇人!20歲男生肺被“啃”出10多個空洞!只因一個常見動作……醫生提醒 - 嚇人!20歲男生肺被“啃”出10多個空洞!只因一個常見動作……醫生提醒 -

千萬別再把隨手擠痘當小事

風險真的比你想的還大!

提醒身邊人

嚇人!20歲男生肺被“啃”出10多個空洞!只因一個常見動作……醫生提醒 -

來源 | 寧波大學附屬第一醫院、錢江晚報、網友評論

編輯 | 曉鈺

分享你的喜愛