發熱僅1天,肺全白了!醫生:極度危險,千萬別當普通感冒

發熱僅1天,肺全白了!醫生:極度危險,千萬別當普通感冒 -

孩子感冒咳嗽看似常見,

可12歲女孩笑笑(化名)的經歷

卻讓人感到後怕——

僅發熱1天,左肺就變成了 “白肺”,

呼吸急促到無法平躺,

血氧飽和度勉強維持在90%左右,

情況十分危急!

發熱僅1天,肺全白了!醫生:極度危險,千萬別當普通感冒 -

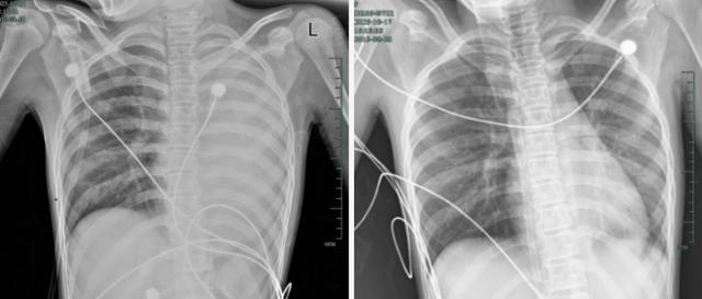
治療前後影響對比,左肺從“白肺”到正常狀態。

什麼病?如此來勢洶洶?

危險藏在黏液里

據介紹,笑笑一開始只是輕微咳嗽,發熱到38℃,檢查提示肺炎、肺不張,轉診到浙大四院兒科時,病情已經急劇惡化。

呼吸急促、胸悶胸痛,體溫38.5℃,只能靠 5L/min 的面罩吸氧維持血氧,胸片顯示左肺已完全呈 “白肺” 改變,肺部炎症進展迅猛。

兒科虞琳副主任醫師判斷

笑笑極有可能是患上了

“塑型性支氣管炎”

發熱僅1天,肺全白了!醫生:極度危險,千萬別當普通感冒 -

這是一種肺部感染的嚴重肺內併發症,由不同原因引發的支氣管內生性異物阻塞疾病,會導致支氣管阻塞、通氣和氣體交換功能障礙,主要癥狀為呼吸困難、喘息、胸痛及發熱,嚴重時會引發危及生命的呼吸循環衰竭。

醫生介紹,塑型性支氣管炎是兒童期兇險的呼吸道急症,常見於2~12歲兒童,多由流感病毒、肺炎支原體、腺病毒等病毒或細菌感染引發。起病隱匿、進展快,容易誤診漏診,若不及時治療,可能遺留閉塞性細支氣管炎、支氣管擴張症等後遺症,嚴重時直接危及生命。

“這種病的兇險之處在於,

氣道會被大量

膠凍狀的黏液栓和支氣管塑型堵塞,

就像呼吸通道被’水泥’ 封住,

氧氣進不去、二氧化碳出不來,

隨時可能窒息。”

接下來的支氣管鏡手術也印證了這一點。孩子的氣道黏膜充血水腫,大量黃白色黏痰不斷湧出,左主支氣管及各肺段開口已被黏液栓完全堵死!

發熱僅1天,肺全白了!醫生:極度危險,千萬別當普通感冒 -

由於治療及時精準,目前笑笑已順利出院,沒有留下嚴重的併發症。

後續檢查發現,引發她此次感染的是毒力極強的銅綠假單胞菌,多發生在免疫功能低下人群。

醫生提醒:孩子出現這些癥狀

千萬別拖延,儘快就診!

孩子感冒咳嗽後出現持續發熱、喘息加重、呼吸急促、胸悶胸痛、胸片或CT提示“肺不張” “肺實變”,尤其是癥狀在短時間內快速惡化時,一定要立即就醫,切勿當作普通感冒拖延。

來源:遼瀋晚報、都市快報、浙大四院

編輯:田文學

責任編輯:高明

分享你的喜愛